高端私人订制口腔医保定点单位 服务热线: 0577-88227777

隐形牙套矫正,术后变化很明显

【发布时间:2019-12-07】

  隐形牙套矫正,术后变化很明显

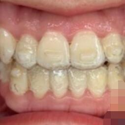
  先介绍一下林先生的牙齿情况,他的脸都被牙齿全毁了。属于错牙、覆牙、轻微挤牙、突出虎牙,他本来觉得就有一些不整齐,听了医生说才知道有这么多问题,后来选择了隐形牙套矫正,在蓝芽口腔矫正的,因为金属钢牙太丑了,在戴上牙套之前,需要做一个定做的薄膜,取出模具。大约要花一周左右的时间才能戴上牙套开始矫正。

  之前照片

  术后第2月

  林先生经过两个月的矫正,虽然牙齿的变化并不特别明显,但已经可以看到轻微的变化。医生告诉他情况很好,只要继续矫正。

  术后第8月

  经过八个月的矫正,林先生牙齿矫正的效果非常明显,每个月都会去蓝芽口腔复查下牙齿,原来突出的虎牙和上门牙被下牙覆盖基本正常了,整齐的两排牙齿,牙龈出血问题也有所改善。